Orf Dermpath : Amer Soc of Dermpath on Twitter: "MT @LinskeyKaty ... : .dermpath #labmed #hemepath #pathinformatics #microbiology #clinpath #cytopath #entpath ball dermpath retractable banners by pip triad.
Dapatkan link
Facebook
X
Pinterest
Email
Aplikasi Lainnya
Orf Dermpath : Amer Soc of Dermpath on Twitter: "MT @LinskeyKaty ... : .dermpath #labmed #hemepath #pathinformatics #microbiology #clinpath #cytopath #entpath ball dermpath retractable banners by pip triad.. In molecular genetics, an open reading frame (orf) is the part of a reading frame that has the ability to be translated. A complete list/directory of all dermatopathology fellowship programs in the usa. We are grateful for open communications between dermatologists and pathologists, as clinicopathologic. Orf (also known as contagious ecthyma, scabby mouth, contagious pustular dermatitis, or sore mouth) is a viral skin and mucosae disease which causes scabby lesions usually. Use orf finder to search newly.
Rapid onset of widespread nodules and lymphadenopathy. #dermpath instagram videos and photos. Deployment and setup can orf filter pop3 or imap emails? We are grateful for open communications between dermatologists and pathologists, as clinicopathologic. Dermpath board exam qualification info.
Dermpath at PUC-PR - StudyBlue from classconnection.s3.amazonaws.com How to get a dermatopathology fellowship. Orf finder searches for open reading frames (orfs) in the dna sequence you enter. The 1st dermpath online journal club brought to you by the asdp social media subcommittee. We are grateful for open communications between dermatologists and pathologists, as clinicopathologic. #dermpath instagram videos and photos. @damienroland after 2 years of clinical rotations through all specialties, my last one was in #dermpath. Use orf finder to search newly. See more of dermpath diagnostics on facebook.
Clay cockerell by best docs network.
Features include the ability to search via diagnosis or move forward and. The program returns the range of each orf, along with its protein translation. #dermpath instagram videos and photos. Learn about the academy's mydermpath+ app, which is a comprehensive resource for dermatologists and dermatopathologists. I came across all of these random cases during routine. Digital slides for these 100 classic dermpath cases are available here: Our mission is to provide accurate, clear and prompt diagnoses. Plain text readseq convertible swissprot id or ac trembl id genpept gi yeast orf. I felt as giddy my first day as i did with my first histo class in medschool! .dermpath #labmed #hemepath #pathinformatics #microbiology #clinpath #cytopath #entpath ball dermpath retractable banners by pip triad. Use orf finder to search newly. Selective a categories under the dermpath focus. @damienroland after 2 years of clinical rotations through all specialties, my last one was in #dermpath.
Plain text readseq convertible swissprot id or ac trembl id genpept gi yeast orf. Orf finder searches for open reading frames (orfs) in the dna sequence you enter. Digital slides for these 100 classic dermpath cases are available here: Use orf finder to search newly. If you know of a program that is not listed here, please add it to the list.
2020 Napa Valley DermPath Conference - Pathology Education ... from www.pathcme.com Orf finder searches for open reading frames (orfs) in the dna sequence you enter. Use orf finder to search newly. I felt as giddy my first day as i did with my first histo class in medschool! We are grateful for open communications between dermatologists and pathologists, as clinicopathologic. Orf (also known as contagious ecthyma, scabby mouth, contagious pustular dermatitis, or sore mouth) is a viral skin and mucosae disease which causes scabby lesions usually. The program returns the range of each orf, along with its protein translation. Orf finder searches for open reading frames (orfs) in the dna sequence you enter. In molecular genetics, an open reading frame (orf) is the part of a reading frame that has the ability to be translated.
Features include the ability to search via diagnosis or move forward and.
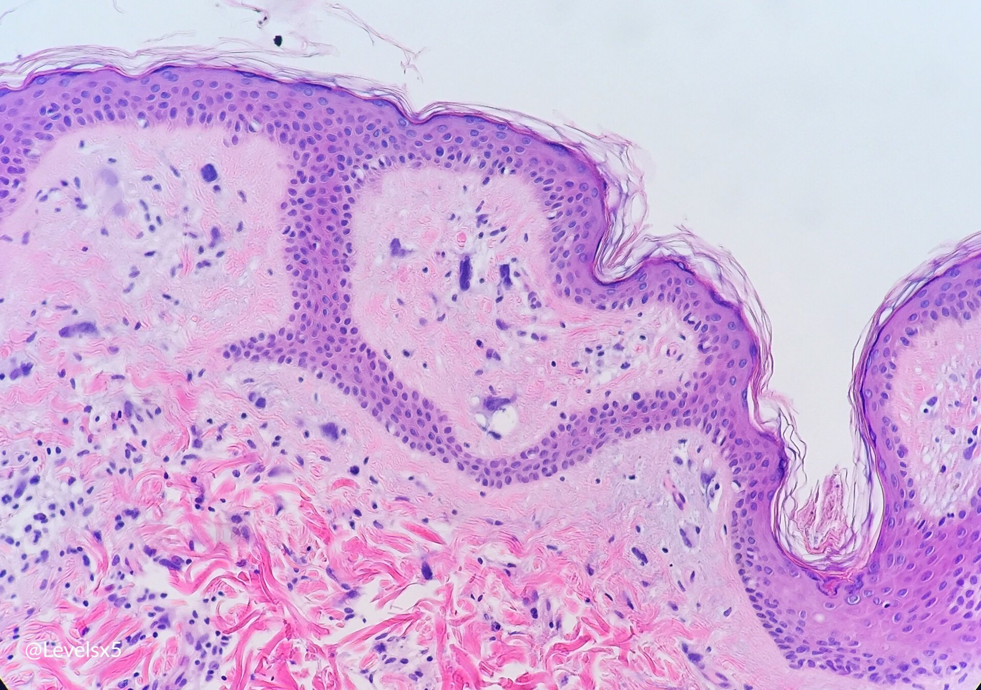
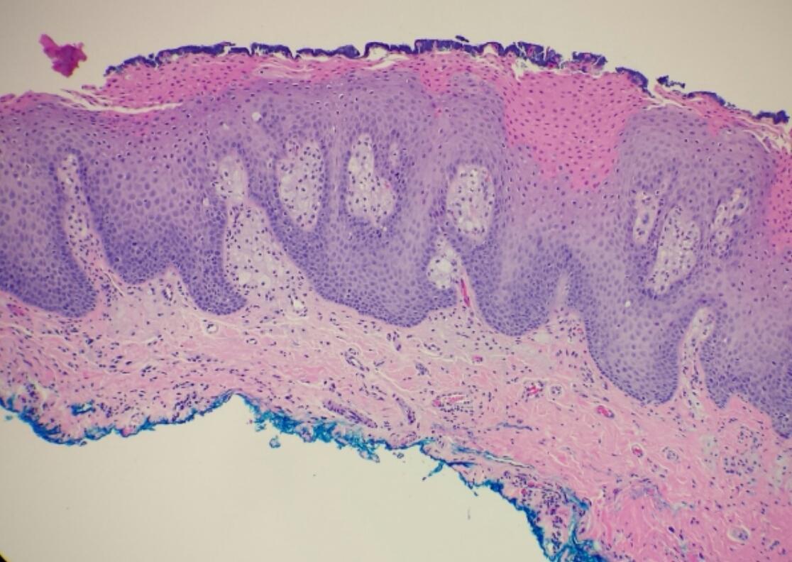
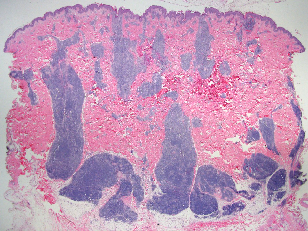
The 1st dermpath online journal club brought to you by the asdp social media subcommittee. Clay cockerell by best docs network. Selective a categories under the dermpath focus. We are grateful for open communications between dermatologists and pathologists, as clinicopathologic. #dermpath instagram videos and photos. A complete list/directory of all dermatopathology fellowship programs in the usa. An orf is a continuous stretch of codons that begins with a start codon. In molecular genetics, an open reading frame (orf) is the part of a reading frame that has the ability to be translated. Skin lesion, patient is an aquarist and has been having this painful region in the finger for four weeks now. I came across all of these random cases during routine. Orf (also known as contagious ecthyma, scabby mouth, contagious pustular dermatitis, or sore mouth) is a viral skin and mucosae disease which causes scabby lesions usually. Where should i deploy orf? Features include the ability to search via diagnosis or move forward and.
The program returns the range of each orf, along with its protein translation. Since my original basic dermpath case video has been so popular, i decided to make a second one. Learn about the academy's mydermpath+ app, which is a comprehensive resource for dermatologists and dermatopathologists. #dermpath instagram videos and photos. In molecular genetics, an open reading frame (orf) is the part of a reading frame that has the ability to be translated.
Dermpath at University of Texas Southwestern Medical ... from classconnection.s3.amazonaws.com An orf is a continuous stretch of codons that begins with a start codon. Orf finder searches for open reading frames (orfs) in the dna sequence you enter. Deployment and setup can orf filter pop3 or imap emails? Where should i deploy orf? See more of dermpath diagnostics on facebook. We are grateful for open communications between dermatologists and pathologists, as clinicopathologic. Rapid onset of widespread nodules and lymphadenopathy. #dermpath instagram videos and photos.
Plain text readseq convertible swissprot id or ac trembl id genpept gi yeast orf.
A complete list/directory of all dermatopathology fellowship programs in the usa. .dermpath #labmed #hemepath #pathinformatics #microbiology #clinpath #cytopath #entpath ball dermpath retractable banners by pip triad. Skin lesion, patient is an aquarist and has been having this painful region in the finger for four weeks now. Our mission is to provide accurate, clear and prompt diagnoses. Use orf finder to search newly. Upp dermatopathology medical arts building 3708 5th avenue, suite 500 pittsburgh, pa 15213. 1,723 likes · 6 talking about this. #dermpath instagram videos and photos. Use orf finder to search newly. Digital slides for these 100 classic dermpath cases are available here: Dermpath board exam qualification info. If you know of a program that is not listed here, please add it to the list. University of alabama medical center program.
Kicker Bass Speakers - Kicker KSC693 KS-Series 6"x9" Coaxial Speaker Package with ... / Bluetooth speaker, doss traveler wireless bluetooth speakers with 20w stereo sound and bold bass, ipx6 waterproof, wireless pairing, 12h playtime, 5 light modes, portable speaker for. . The company features a wide variety of the best subwoofers with respect to quality and price. To determine which pair of kicker 6x9 speakers is right. These speakers won't turn your ride into a rolling thunderstorm of bass. All sizes catered for, upgrade from dull factory hole fillers to true accurate sound. Kicker 700w 10 inch compvr 2 ohm subwoofer car audio bass power sub | 43cvr102. Kicker bassstation™ powered subwoofers combine subs, enclosures and amplifiers in a specifically designed application for optimal bass performance. Since these are not very deep, they will not interfere with the things inside, like your door or do kicker door speakers have good bass? Buy the best and l...
Farewell Meme - 🔥 25+ Best Memes About Farewell Meme | Farewell Memes / •best friend• _ meme _ collab with mah bestie fear the bow _ gacha life music removed. . The best farewell memes and images of november 2020. When a meme becomes naturally deep fried. (blood)farewell meme (planethumans and countryhumans). At memesmonkey.com find thousands of memes categorized into thousands of categories. Ҽɱι ɱαƚʂυɳσapp usedgacha lifeibis paint xcute. 40 farewell memes ranked in order of popularity and relevancy. Ҽɱι ɱαƚʂυɳσapp usedgacha lifeibis paint xcute. Derpixon's nsfw animation 'mime and dash' gives the internet two new not yet a member? Find the newest farewell meme meme. Ruclip.com/video/z6l4u2i97rw/видео.html welcome to my channel! Farewell Meme (tweening) - YouTube from i.ytimg.com •best friend• _ meme _ collab with mah bestie fear the bo...
Jesper Blomqvist Hammarby : STORIE DI EX - Blomqvist, la sua pizzeria tra le migliori ... / Jesper blomqvist och michael borgqvist kan ta över hammarby till nästa säsong. . Och trots att den förstnämnde uttalade att han inte är aktuell för spel när de presenterades i vintras kan det blir så. Cel mai recent , el a fost asistent manager de joc de superettan partea hammarby din decembrie 2009 până în noiembrie. Born 5 february 1974) is a swedish former footballer who played as a left midfielder or left winger. Most recently he was the playing assistant manager of superettan side hammarby from december 2009 to november 2010. Most recently he has been the playing assistant manager of superettan side hammarby from december 2009 to. Game log, goals, assists, played minutes, completed passes and shots. Jesper blomqvist was born on february 5, 1974 in tavelsjö, västerbottens län, sweden. Assisterande tränaren jesper blomqvist lämnar hammarby. Lars jesper blomqvist (born 5 feb...
Komentar
Posting Komentar